Receding gums - Root coverage
Home / Receding gums – Root coverage
Receding gums - Root coverage
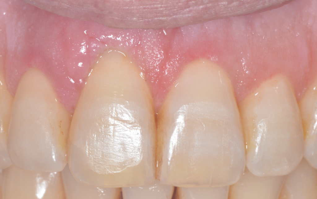
The gums normally cover the roots of the teeth. The root of a tooth is not covered by
enamel
and is made of cementum which has a yellowish color. When with a glance in the mirror
part of the root of a tooth is visible then a visit to the periodontist is a good idea.
The
most common causes of receding gums are the following:
Periodontitis
The loss of the supporting bone of the tooth is accompanied by a
corresponding receding of the gums, resulting in the patient's teeth appearing "bigger".
Treatment is required to prevent further loss but without being able to restore the gums
to their original position.
Injury to the gums with the toothbrush
Receding gums due to "strenuous" brushing
with vigorous movements and hard toothbrushes. A characteristic feature is that there is
gum between the teeth and the recession mainly affects the front side of the tooth. In
this case it is possible to cover receding gums.
Ectopic position of the tooth
The tooth "protrudes" in relation to the neighboring ones.
In these cases, orthodontic tooth movement is recommended to return it to its correct
position.
High frenulum position
The frenulum is a bundle of fibers that can be too close to the
gingival end and "pull" on it, leading to receding. Removal of the frenulum is sufficient to
stabilize the condition and improve gum recession.
Since gum recession is due to periodontitis, immediate treatment of periodontitis is necessary.
In the other cases it should be noted that a slight receding of the gum is not
dangerous for the longevity of the tooth but there should be regular follow-ups to
diagnose any worsening of the recession.
Cases in which an attempt should be made tfor root coverage are the following:
- Gum recession is visible in the smile and leads to a tooth that looks unnaturally large.
- Receding gums cause a strong reaction to cold and hot stimuli.
- The gum is at a point where it is very difficult to clean adequately with a toothbrush and inflammation is constantly created in the area.
- When gum recession increases gradually, which can lead to a risk of tooth loss.
The first and most important step in restoring gum recession is to diagnose the problem
and treat the cause. Often this includes learning proper brushing technique and using a
soft toothbrush. Unless there is a change in brushing technique, any attempt to cover
the root will not have long-term success.
The root coverage is accomplished with free gingival grafts that originate either from the
same person, from the palatal area, or with ready-made synthetic or animal-derived
grafts. The goal is to restore the gum to its original form, both in color and texture. This
is an operation that is performed under local anesthesia and iusually causes some
discomfort in the following days. As long as the right technique is chosen and there is
good cooperation between doctor and patient, these operations have very good results
and can restore the esthetics of a smile. The most common complication after receiving
a graft from the patient himself is bleeding from the area of the palate where the graft
was received. This bleeding is usually easily controlled with local hemostatic agents
except when the patient is on anticoagulants.
Perio
Project
Services
Dr. Georgia Malamoudi
Periodontologist
Dr. Georgios Koukos
Periodontologist
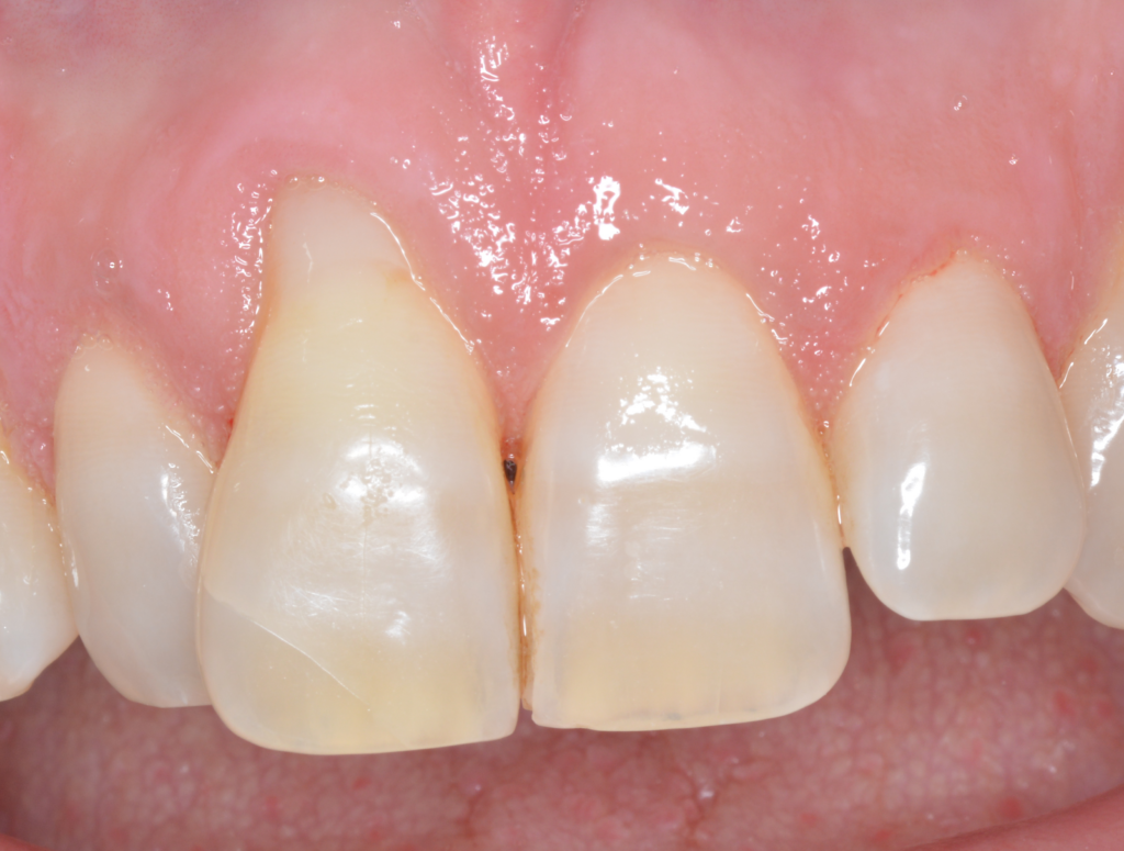
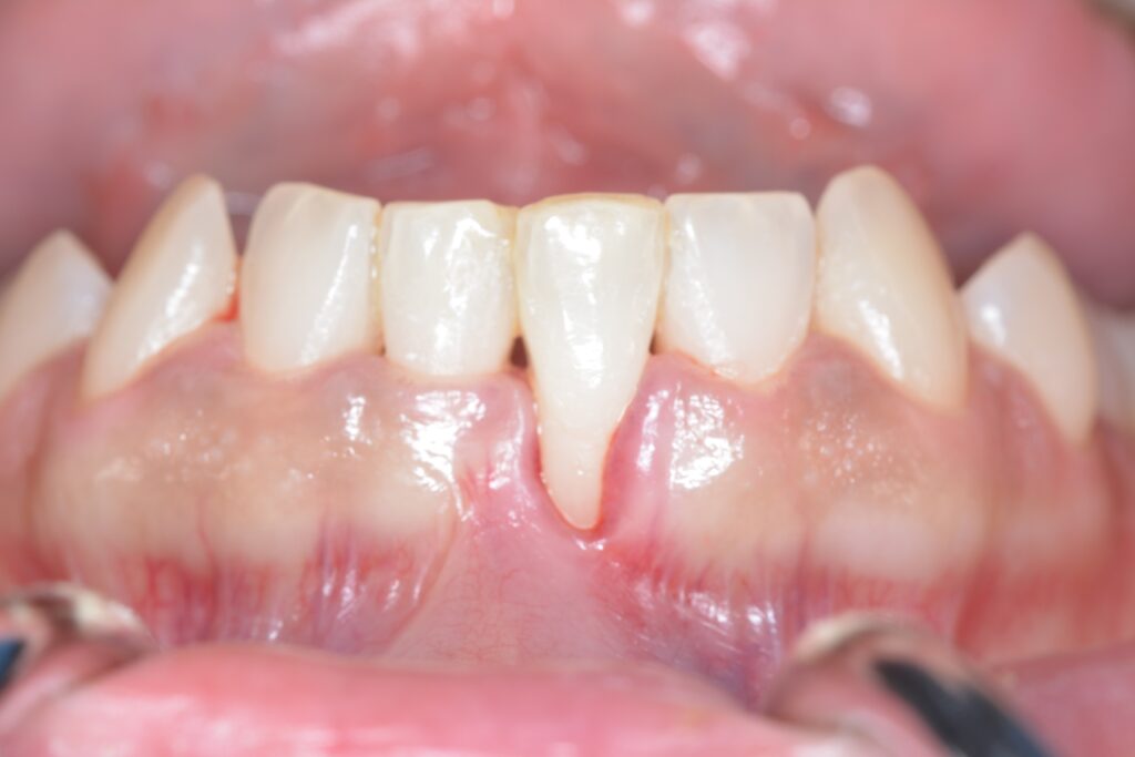
Treatment Results

Before
After
Treatment:
Receding gums - Root coverage
Description:
root coverage with a graft from the patient's palate

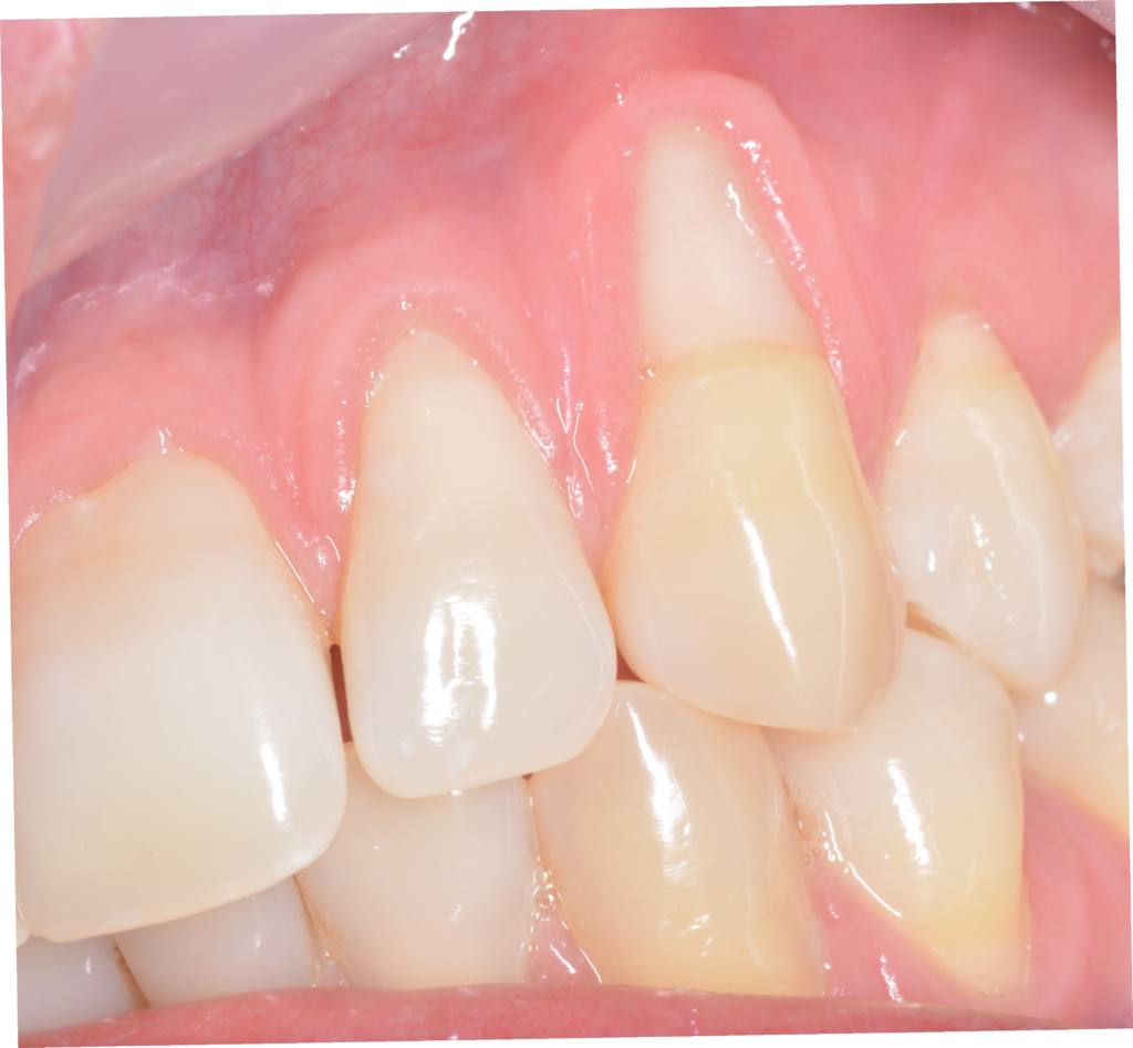
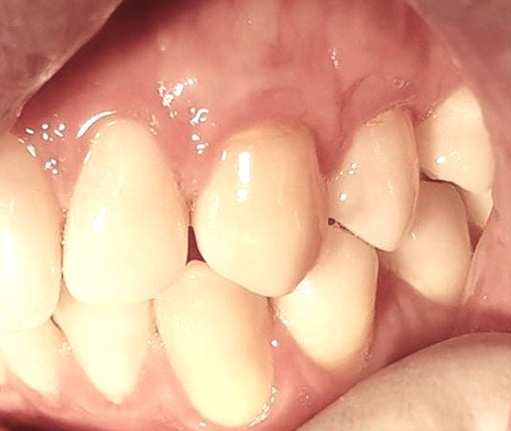
Before
After
Treatment:
Receding gums - Root coverage
Description:
root coverage with a graft from the patient's palate

Before
After