Surgical exposure
of impacted teeth
Home / Surgical exposure of impacted teeth
Surgical exposure of impacted teeth
Teeth that have not appeared in the mouth and remain partially or completely
embedded in the jawbone are called impacted. This condition can cause various
problems such as cyst formation, displacement of neighboring teeth, prolonged stay of a
primary tooth and other. Canines are the most frequently impacted teeth after incisors
with an incidence of 0.3-2.4% for the maxilla and 0.35% for the mandible.
These teeth can be moved orthodontically in order to appear in the mouth, however they require the cooperation of a periodontist with the orthodontist who is treating the patient. In these cases, the periodontist creates a flap with the gums and removes the bone that is over the impacted tooth in order for the orthodontist to attach an orthodontic device with which he will gradually "pull" the tooth into the mouth. This is followed by suturing of the gums in a way that facilitates rapid healing and aesthetics.
These teeth can be moved orthodontically in order to appear in the mouth, however they require the cooperation of a periodontist with the orthodontist who is treating the patient. In these cases, the periodontist creates a flap with the gums and removes the bone that is over the impacted tooth in order for the orthodontist to attach an orthodontic device with which he will gradually "pull" the tooth into the mouth. This is followed by suturing of the gums in a way that facilitates rapid healing and aesthetics.
Perio
Project
Services
Dr. Georgia Malamoudi
Periodontologist
Dr. Georgios Koukos
Periodontologist
Treatment Results

Before
After
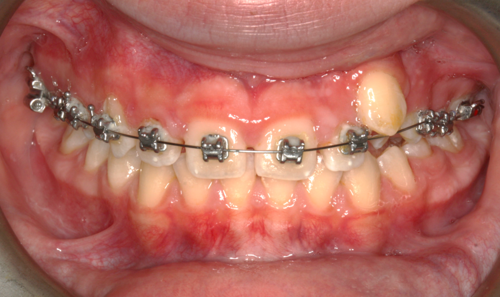
Treatment:
Surgical exposure of impacted teeth
Description:
revealing an impacted mandibular canine

Before
After