Dental Scaling
Home / Dental Scaling

Dental Scaling
Dental scaling is a treatment for oral cavities with healthy periodontal tissues and
presents the best preventive measure against dental and periodontal diseases. During
scaling, oral health is checked and potential problems are identified. Next, tartar and
plaque deposits are removed from the teeth using ultrasound and hand instruments.
This is followed by polishing and stain removal, as well as administration of
personalized oral hygiene instructions. The procedure usually takes 30-45 minutes.
Frequency of scaling
The
frequency of scaling depends on the rate of calculus build-up and the level of oral
hygiene of the individual. In general, dental scaling every 6-12 months is recommended
for people without serious periodontal problems, as regular tartar removal prevents gum
inflammation and makes the process simple and painless. When scaling is performed
after long periods of time, local anesthesia may be required, which increases the time
and cost of treatment.
People with history of periodontitis
For people with a history of periodontitis, after the completion of
active treatment, debridement every 4-6 months is recommended to maintain the
treatment effect. Without this maintenance, there is a risk of periodontal deterioration
which can lead to tooth loss and the need to repeat the initial treatment.
Perio
Project
Services

Dr. Georgia Malamoudi
Periodontologist

Dr. Georgios Koukos
Periodontologist
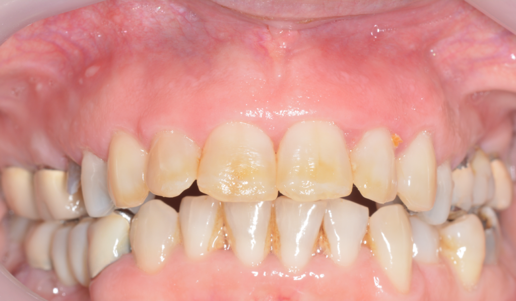
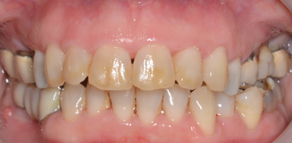
Treatment Results


Before
After
Treatment:
Dental Scaling
Description:
Microbial Plaque Staining before and after cleaning


Before
After