Aesthetic improvement of the smile - Gingivoplasty
Home / Aesthetic improvement of the smile – Gingivoplasty

Aesthetic improvement of the smile - Gingivoplasty
The aesthetic appearance of the smile depends on the symmetry and position of the
gums. Ideally about 2-3 millimeters of gums are desired to appear when we smile
whereas the gums should not cover the teeth.
gummy smile
When there is an excessive appearance
of gums in the smile (“gummy smile”) one of the factors that cause it is the incorrect
position of the gums in relation to the teeth. The gums in this case cover the crown
(enamel) of the teeth, and the teeth appear short and square. In such cases, it is
possible with gingivoplasty to correct the position of the gums and to have a spectacular
improvement in the image of the smile.
Gum Asymmetry
Likewise, in cases of gum asymmetry, where
some teeth appear larger and others smaller, gingivoplasty and gingivectomy can
beautify the smile by restoring the gums to their correct positions.
periodontics and restorative dentistry
If there is disharmony
both in the position of the gums and in the shape and form of the teeth, their correction
is done with a combination of periodontics and restorative dentistry. The periodontist will
change the shape of the gums in order to harmonize with the prosthetic restorations that
will follow (crowns or porcelain veneers).
Perio
Project
Services

Dr. Georgia Malamoudi
Periodontologist

Dr. Georgios Koukos
Periodontologist
Treatment Results


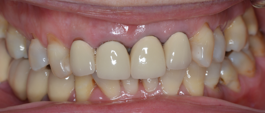
Before
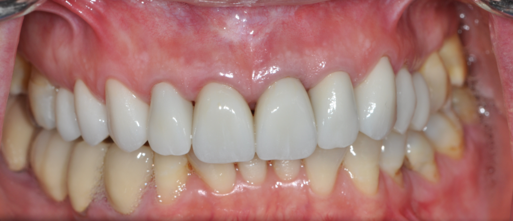
After
Treatment:
Gingivoplasty
Description:
disharmony in the position of scars in relation to prosthetic restorations


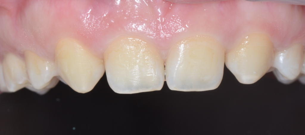
Before
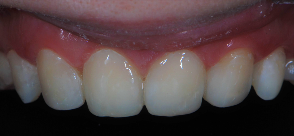
After